Ictus, ecco come predire quei casi apparentemente lievi che si aggraveranno

ictus,-ecco-come-predire-quei-casi-apparentemente-lievi-che-si-aggraveranno

In circa un caso su due l’ictus dà, almeno inizialmente, sintomi solo lievi. Tuttavia circa la metà dei pazienti con sintomi lievi (minor stroke) finisce per aggravarsi all’improvviso. Uno studio di esperti dell’Università Cattolica, campus di Roma, fornisce gli strumenti per predire chi si aggraverà e quindi per decidere chi trattare in modo più aggressivo, nonostante i sintomi iniziali del paziente siano solo lievi. Questo è quanto emerge da due lavori pubblicati su Journal of NeuroInterventional Surgery coordinati dal dottor Aldobrando Broccolini, ricercatore in Neurologia del Dipartimento di Neuroscienze della Facoltà di Medicina e Chirurgia dell’Università Cattolica, campus di Roma e Dirigente Medico nella Stroke Unit della Fondazione Policlinico Universitario Agostino Gemelli IRCCS, e dal dottor Andrea Alexandre, docente in Neuroradiologia all’Università Cattolica e Dirigente Medico nell’Unità di Neuroradiologia Interventistica della Fondazione Policlinico Universitario Agostino Gemelli IRCCS.

I protagonisti dello studio

Lo studio ha visto impegnati 16 grandi centri ospedalieri (15 italiani e 1 svizzero), coordinato dall’Unità operativa complessa di Neurologia, diretta dal Professor Paolo Calabresi, Ordinario di Neurologia all’Università Cattolica, e dall’Unità operativa semplice dipartimentale di Neuroradiologia Interventistica del Policlinico A. Gemelli IRCCS, diretta dal dottor Alessandro Pedicelli, ricercatore in Neuroradiologia all’Università Cattolica. Lo studio ha coinvolto 308 pazienti con stroke ischemico acuto caratterizzato da deficit neurologico minimo, ma con un’occlusione riguardante un’arteria di grosso calibro del circolo intracranico. In questa categoria di pazienti, le attuali linee guida di trattamento dell’ictus in fase acuta non definiscono un approccio terapeutico univoco.

I minor stroke

I “minor stroke”, ictus associati a un quadro clinico con un’evoluzione generalmente favorevole, costituiscono una percentuale significativa di tutti gli ictus che si avvicina a quasi il 50%. «Tecnicamente – spiega il dottor Broccolini – definiamo “minor stroke” un evento cerebrovascolare acuto con un punteggio minore o uguale a 5 sulla scala NIHSS, utilizzata per quantificare il livello di deterioramento clinico. In termini pratici, un paziente con ictus e sintomi minimi può presentarsi, per esempio, con una lieve emiparesi e un lieve disturbo del linguaggio ma con funzioni cognitive integre». I pazienti con minor stroke in cui viene documentata una occlusione di un grosso vaso arterioso del circolo intracranico costituiscono infine una percentuale variabile fra il 5 e 10% di tutti gli ictus. Il fatto che, pur in presenza di un’occlusione di un grosso vaso, il paziente presenti solo sintomi minimi è verosimilmente riconducibile all’attivazione di una circolazione collaterale in grado di compensare parzialmente l’occlusione del grosso vaso.

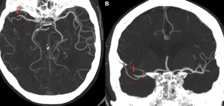
Lo studio

«Questa tipologia di pazienti è stata oggetto del nostro studio –  spiega l’esperto – e in particolare quei pazienti in cui l’occlusione viene documentata in un tratto più periferico dell’arteria cerebrale media (quello che viene definito tratto M2). Sebbene questo segmento dell’arteria cerebrale media sia trattabile attraverso una procedura endovascolare (la trombectomia meccanica), le attuali linee guida di trattamento dell’ictus in fase acuta sconsigliano questa procedura nei pazienti con un grado lieve di compromissione clinica. Tuttavia – precisa – la principale perplessità nella gestione di questi pazienti nasce dal fatto che una percentuale di questi (che nella nostra casistica è del 40% circa), pur avendo al principio sintomi minimi, può andare incontro ad un peggioramento clinico notevole» Dallo studio è emerso ad esempio che la presenza di fibrillazione atriale è un elemento predittivo di deterioramento clinico.

Oltre i risultati

«I dati dei nostri studi suggeriscono che in questi pazienti l’approccio terapeutico più ragionevole sia quello che preveda inizialmente una gestione medica e uno stretto monitoraggio clinico e consideri il trattamento endovascolare solo in presenza di un precoce peggioramento dei sintomi. Tale condotta terapeutica, infatti, produce risultati statisticamente non differenti in termini di prognosi a lungo termine rispetto ad un approccio che preveda un trattamento endovascolare immediato –  spiega -. I risultati del nostro studio, dunque, portano ulteriori elementi utili alla più corretta decisione terapeutica in questo gruppo di pazienti con ictus ischemico ad integrazione di quanto già riportato nelle attuali linee guida di trattamento» conclude.

 

Iscriviti alla Newsletter di Sanità Informazione per rimanere sempre aggiornato

L’articolo Ictus, ecco come predire quei casi apparentemente lievi che si aggraveranno sembra essere il primo su Sanità Informazione.